吸血鬼兄弟

英國一對兄弟因罹患罕見的遺傳性疾病-外胚胎發育不良症(HED),被迫只能晝伏夜出,就如同吸血鬼一般,此外還有鋒利的獠牙,看起來就像是暮光之城的真人版本。

吸血鬼兄弟

吸血鬼兄弟 - 賽門‧格倫以及喬治‧格倫
英國每日郵報報導,兩名兄弟分為13歲的賽門‧格倫以及11歲的喬治‧格倫。因為牙齒尖銳,因而造成咀嚼方面的困難,平時只能攝取軟性食物;若是要白天出門,一定要做好防護措施。同時,他們也要預防流汗,不能讓身體過度燥熱。


吸血鬼兄弟 - 同學慫恿他們改名為愛德華(Edward)
兄弟倆雖然罹患怪病,但依舊相當樂觀,甚至提到同學慫恿他們改名為愛德華(Edward),如此一來就真的成為暮光之城的男主角了。外胚胎發育不良症相當罕見,全世界僅有7000名病患,因為病症特殊,所以常引來側目。


他們的父母在哥哥賽門剛出世沒多久便感到異狀─賽門除了體溫持續下降以外,甚至還因為燈光照射而曬傷。半年之後醫生確定賽門罹患遺傳性疾病,不過這並沒有澆熄他們再生一個的念頭。所以在當弟弟喬治也被偵測出罹病之後,他們已有十足自信知道該如何對付這個疾病。

這對兄弟患有「少汗型外胚層發育不良症」

吸血鬼兄弟 - 進行人工植牙
兄弟倆鮮少出門,大多在家玩電動,因為出門不但危險而且工程浩大。他們的父母正在考慮手術的可能性,計畫將部分小腿骨移植到下巴,再進行人工植牙,以此替代他們的吸血鬼牙。他們提到,「手術雖然痛苦,但會帶給他我們期盼以久的微笑」。


暮光之城


吸血鬼兄弟 - Hypohidrotic Ectodermal Dysplasia,HED
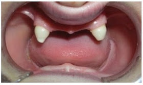
這對兄弟患有「少汗型外胚層發育不良症」(Hypohidrotic Ectodermal Dysplasia,HED),讓他們的臉色異常死白,牙齒長不齊全,卻長了犬牙,看起來真的像電影裡的吸血鬼。


他們有尖牙齒、不能曬太陽,都姓「庫倫」(Cullen),但並非《暮光之城》(Twilight)裡的角色,這是真實人生──13歲的賽門庫倫(Simon Cullen)和11歲的喬治庫倫(George Cullen)。

吸血鬼兄弟一家人

吸血鬼兄弟 - 少汗型外胚層發育不良症
英國這一對兄弟患有一種罕見疾病「少汗型外胚層發育不良症」(Hypohidrotic Ectodermal Dysplasia,HED),讓他們的臉色異常死白,牙齒長不齊全,卻長了犬牙,看起來真的像電影裡的吸血鬼,甚至不能做任何運動,因為太喘會讓他們昏倒。


小兄弟曾因外表飽受嘲弄,但拜《暮光之城》電影之賜,賽門說,他的同學覺得他很酷,「我的朋友想把我的名字改成『愛德華』,就像《暮光之城》的男主角一樣。」


吸血鬼兄弟 - 暮光之城 庫倫家族
HED這種罕病,全球只有7000人罹患。小兄弟的媽媽曼蒂(Mandy)說,路人常盯著他們看,因為他們實在太蒼白,並且認為他們得了白血病,而在《暮光之城》熱映後,「人們開始叫我們庫倫家族。」


吸血鬼兄弟 - 賽門‧格倫以及喬治‧格倫


吸血鬼兄弟 - 英國吸血鬼兄弟
庫倫夫婦約翰和曼蒂外觀和健康狀況都很正常,曼蒂的懷孕和分娩過程也很順利,但在賽門才出生幾個小時,他們就發現小baby不對勁──他的體溫開始下降。護士連忙為賽門照射保溫燈,但是沒多久,小baby的眼睛周圍和手臂開始起小水泡,就像被曬傷一樣。


賽門在6個月大時確診為HED患者,當曼蒂懷喬治時,醫師警告他也可能罹患HED,但曼蒂並不擔心,因為她已很有照顧這類罕病的經驗了。


==
以下的熱門資訊也別錯過:
這個人20年不脫帽
哈利波特金探子 魁地奇遊戲真人版
肥胖稅 肥胖捐 fat tax
大鬧寶萊塢 三傻交卷
天蛾人 最神秘生物之首
===